![]() |
||
| 60代の女性 奥歯の虫歯の治療とともに、 できれば白くしたいとの希望。 |
歯ぎしり等の 習癖がありませんでしたので、 噛み合わせの面もセラミックスにしています。 |
|
![]() |
||
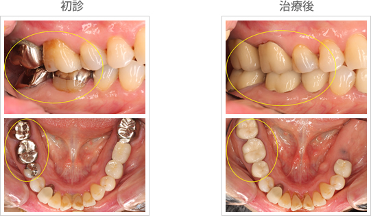
| 40代の女性 左下に3本の歯が虫歯で喪失。 取り外しの入れ歯は入れたくない。 黄色の部位に3本のインプラントを埋入。 |
7年後 違和感もなく、良く噛めていると 満足されています。 |
|
![]() |
||
| 下の前歯の裏側は特に歯石が たまりやすい部位です。 |
丁寧なブラッシングと歯石除去で 2ヶ月で症状改善しました。 |
|
![]() |
||
| 黄色部位に歯垢(プラーク)の付着と 歯肉炎が著しい。 |
丁寧なブラッシングと歯石除去で 歯肉炎も改善しています。 |
|
![]() |
||||
| 50代の女性 全体的に重度の歯周炎に かかっていました。 |
協力的で丁寧なブラッシングと 定期的なメンテナンスで、 きれいな歯肉を 維持しています。 |
処置後1本の歯も 失っていません。 |
||
![]() |
||||
| 40代女性 黄色の部位中心に 重度の歯周炎に かかっていました。 |
丁寧なブラッシングと 定期的なメンテナンスで、 きれいな歯肉を 維持しています。 |
18年後の現在 |
||
![]() ![]() ![]()
|
||||
| 初診時9歳の女の子 乳歯の頃から歯の重なりが 多く、また清掃がしにくい ので虫歯が多い。 |
永久歯の交換とともに スペースの確保 |
16歳現在 歯列もきれいなり、 歯磨きもしやすくなりました。 |
||
![]() |
| ホワイトニングも行っておりますが、
茶渋の除去は器具での清掃のみでかなり改善されます。 |























